© 2026 SVET24, informativne vsebine d.o.o. - Vse pravice pridržane.
Prelomno
Čas branja 1 min.

FOTO: 6-letnemu dečku rešili življenje s pomočjo robota in 3D tiskalnika


S.R.
13. 10. 2017, 10.35
Deli članek
Facebook
Kopiraj povezavo
Povezava je kopirana!
Deli
Velikost pisave
Manjša
Večja

Francoski kirurgi so kot prvi na svetu operacijo hrbtenice izvedli s pomočjo robota in 3D tiskalnika.

operacija hrbtenice, 6-letni deček, 3d printer
Profimedia
Deček že okreva, ponovno pa lahko tudi "normalno" sedi.

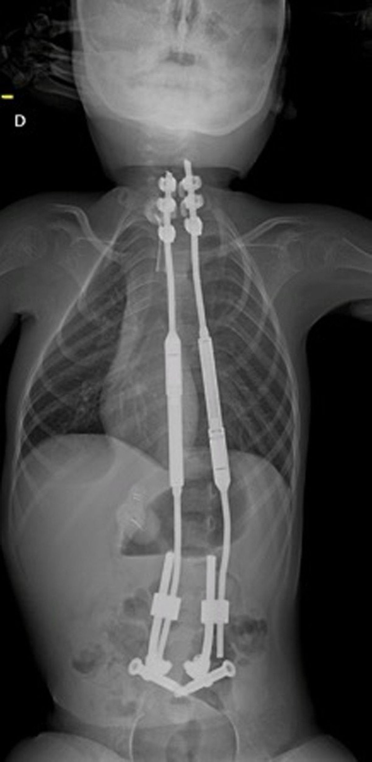
Ekipa kirurgov iz francoske Univerzitetne bolnišnice Amiens-Picardie je zapleteno operacijo hrbtenice na 6-letnem dečku opravila s pomočjo robota in modela dečkovega telesa, izdelanega s 3D tiskalnikom. Šlo je za prvo tovrstno operacijo na svetu.

operacija hrbtenice, 6-letni deček, 3d printer
Profimedia
Deček trpi za hudo obliko skolioze (po operaciji).

Deček je trpel za hitro napredujočo skoliozo in spinalno mišično atrofijo. Skolioza oziroma ukrivljenost hrbtenice je napredovala že do te mere, da deček ni mogel več niti sedeti.

Kirurgi so zapleteno operacijo, ki so jo nato izvedli 28. septembra, načrtovali leto dni. Najprej so s pomočjo 3D tiskalnika izdelali natančno repliko dečkove hrbtenice, ki so jo nato vstavili v lutko ustrezne velikosti. To je kirurgom omogočilo, da so podrobno proučili potek operacije in jo celo simulirali. Na podlagi tega so lahko izbrali vsadke pravilne velikosti in testirali kirurškega robota.

Preberite še

Med zahtevnim posegom, ki je trajal tri ure, so s pomočjo majhnih vrezov v dečkovo hrbtenico vstavili vsadke. Ker je bila potrebna izjemna natančnost, so si pomagali z robotom, s katerim so v hrbtenico na točno določena mesta, ki so jih izbrali kirurgi, zavrtali in tja namestili vijake. »Vstavljanje vijakov v bližino korenin živcev je še vedno zelo zapleteno in redko; vijaki so v primerjavi z majhnostjo otroških kosti zelo veliki. S pomočjo robota Rosa smo lahko prvič poenostavili operacijo in skrajšali čas njenega trajanja,« so pojasnili.

Deček po operaciji dobro okreva in domnevno lahko že normalno sedi. Revolucionarno operacijo naj bi sicer izvajali zgolj v skrajnih primerih, nanjo pa trenutno čakajo štirje otroci.

E-novice · Zdravje

Navdihujoči nasveti, zdrave navade in vsebine za boljše počutje, vitalnost in notranje ravnovesje neposredno v vaš e-nabiralnik.

Hvala za prijavo!

Na vaš e-naslov smo poslali sporočilo s potrditveno povezavo.


© 2026 SVET24, informativne vsebine d.o.o.

Vse pravice pridržane.