Najnovejše
Adam Johsnon se po aretaciji vrača na treninge
V začetku tega meseca je bil nogometaš Sunderlanda Adam Johnson aretiran zaradi spolnih odnosov z dekletom mlajšim od 16 let, zdaj se bo lahko (vsaj začasno) vrnil na treninge.
Celjanke zmagale že 39. zapored
- Z obračunom med Athletom in Triglavom se je v sredo v Celju zaključil 18. krog državnega prvenstva.
Messi spet v središču pozornosti (video)
Čeprav se odlični napadalec ni vpisal med strelce proti Manchester Cityju, pa je zopet poskrbel za nekaj izjemnih potez.
Liga prvakov: Kampl in druščina z bolečo zaušnico
Po Janu Oblaku, ki je v torek dobil svojo priložnost v ligi prvakov, je proti Juventusu v prvi enajsterici tudi Kevin Kampl.
Maribor: davek na dež drugič
Žula poudarja, da je uskladitev odloka o odvajanju odpadnih voda z državno zakonodajo obveza vsake občine.
Severina zaljubljena v Slovenijo? Poglejte, kakšna očala si je nadela!
V Smučarskem centru Cerkno je te dni potekala velika zimska zabava s Severino in Gadi, ki so zbrano množico zabavali pred idilično Alpsko perlo na vrhu smučarskega centra.
Univerzo v Mariboru bo v prihodnje vodil Igor Tičar
Univerzo v Mariboru bo v prihodnjih štirih letih vodil nekdanji dekan fakultete za elektrotehniko, računalništvo in informatiko Igor Tičar. V današnjem drugem krogu volitev rektorja je namreč zbral 61,3 odstotka glasov, medtem ko je za njegovega tekmeca Sama Bobka glasovalo 38,7 odstotka volivcev, je sporočila volilna komisija.
V finalu spet dvoboj Mariborčank in Kamničank
Še šestič zapored bomo v boju za naslov prvakinj gledali obračun med Novo KBM Branikom in Calcitom Volleyballom.
Prvi samostojni koncert skupine Špica je bil špica
Člani skupine Špica so v domačem Kamniku pripravili velik koncert ob prazniku vseh predstavnic nežnejšega spola. Športna dvorana Kamnik je bila polna skoraj do zadnjega kotička, gostje in gostitelji pa niso skoparili z izborom odličnih melodij.
Liga Telemach: Krka v ligo za prvaka, Šenčur za obstanek
Po današnjih tekmah zadnjega kroga rednega dela lige Telemach so znani udeleženci lige za prvaka in lige za obstanek.
Wenger: Raje bi izpadel v ligo Europa
Nobeno presenečenje ni, da je bil Arsene Wenger po izpadu iz lige prvakov besen, toda njegove izjave po tekmi z Monacom so presenetile mnoge.
Bela hiša opozarja Netanjahuja glede politike do Palestine
Bela hiša je danes izraelskega premierja Benjamina Netanjahuja, ki si je na torkovih volitvah priboril nov mandat na čelu izraelske vlade, opozorila, da njegove napovedi, da ne bo podprl palestinske države, niso v skladu z ameriško politiko. V Washingtonu so tudi zatrdili, da njegova vnovična izvolitev ne bo vplivala na pogovore z Iranom.
1. NLB Leasing liga: V Zlatorogu padel rekord
Celjski rokometaši so v 21. krogu domačega rokometnega prvenstva popravili svojo rekordno visoko zmago, ki je veljala kar 18 let.
Na zadnji seji ormoškega občinskega sveta je morala posredovati policija
V ormoški občini, kjer se konec leta izteče uporabno dovoljenje za odlagališče odpadkov na Dobravi, je bilo pred dnevi vroče.
Vikingi lahek zalogaj
Slovenska moška reprezentanca v dvoranskem nogometu je v prvi tekmi kvalifikacij za evropsko prvenstvo leta 2016 danes v Laškem premagala Norveško s 4:0 (3:0).
Načrti za življenje po Handanoviću?
Samir Handanović bo ostal pri Interju. Samir Handanović bo odšel v Romo. Samir Handanović to, Samir Handanović ono. Okoli Slovenca se v italijanskih medijih še naprej dviguje precej prahu.
Srb po osmih letih zapušča Sereno Williams
Konec "ljubezni" med ameriško tenisačico Sereno Williams in njenim srbskim sparing partnerjem Sašo Bajinom.
Vpili so mu, naj skoči, in to je res storil
Prav neverjetno je, kako brezčutni so lahko ljudje. Poraja se vprašanje, ali postajamo čedalje bolj brezčutni ali pa je človeštvo takšno že od prazgodovine? Oboje je možno.
Javnost je besna: policisti s solzivcem nad vklenjenega brezdomca
Po spletu je zakrožil video, ki prikazuje policista, ki je vklenil brezdomca, nato pa ga še poškropil s solzivcem. V videu, ki ga je posnel 20-letni študent Philip Campion, je prikazan policist iz Dublina, ki stopi do brezdomca, spečega v spalni vreči.
Dunaj že globoko v pripravah na jubilejni Eurosong
Mesto Dunaj in avstrijska nacionalna televizija ORF sta popoldne v Ljubljani predstavila potek priprav na 60. Eurosong, ki ga bo maja gostila avstrijska prestolnica. Severni sosedi si želijo, da bi jubilejno tekmovanje izzvenelo kot svetovljanski dogodek strpnosti, sprejemanja in raznolikosti. Obenem bo to prvi zeleni dogodek s certifikatom.
Kočevje in Impol dokončno A ligaša
Predzadnji krog v nižjih ligah je bil zelo razburljiv in tudi izenačen. Zato ne čudi, da se je kar nekaj tekem končalo brez zmagovalca, v dveh primerih pa so se ekipe razšle tudi z enakim številom podrtih kegljev.
Deklica s seznamom želja in nogometaš z zlatim srcem
Zgodba o nogometašu premier lige in njegovi novi najboljši prijateljici je že ogrela mnoga srca.
Afriška zvezdnica dve leti na hladnem
Bocvanska atletska zveza je Amantle Montsho naložila dveletno prepoved nastopanja zaradi uživanja prepovedanih substanc.
Josip ubil 70-letno mater?
Dvainštiridesetletnemu Josipu B. so odredili pripor zaradi suma, da je preteklo soboto ubil svojo nepokretno mater, sedemdesetletno Zorico Jovanović. Slednjo so našli mrtvo v stanovanju v srbskem Novem Sadu.
Podpisi za peticijo »Za podporo Medu«
»Prebivalci hrvaškega Peroja so želeli pomagati, da se sodni proces, v katerem najbolj trpi moj pes Medo, čim prej konča,« je povedal Anton Šimunović.
Vragolije Toewsa in Kana malo drugače (video)
Zvezdnika Chicaga sta se na ledeno ploskev odpravila s kamero na čeladi in nastal je sila zanimiv videoposnetek.
Bogdan najprej ubil ljubico, nato sodil še sebi
V bližini Sanskega Mosta v Bosni in Hercegovini so v nedeljo odkrili trupli sedeminšestdesetletnega Bogdana Popovića in devetindvajsetletne Janje Bijeljin, ki sta živela v okolici Bačke Palanke. Preiskava je pokazala, da je Bogdan s pištolo najprej ubil svojo ljubico, zatem pa sodil še sebi. Prav tako s pištolo, s strelom v prsi. Poleg njunih trupel so našli tudi rdečo vrtnico.
EU in Slovenija obsojata zahrbten napad v Tuniziji
Evropska unija in Slovenija sta ostro obsodili današnji teroristični napad v Tunisu. Zunanje ministrstvo ga je označilo za zahrbten napad. Predsednik Evropskega sveta Donald Tusk pa je zatrdil, da EU in Tunizija ne bosta trepetali pred terorizmom, ne doma ne v tujini.
Na delovnem obisku v Sloveniji pomočnica ameriškega državnega sekretarja
V Sloveniji je danes na pogovorih z državnim vrhom pomočnica ameriškega državnega sekretarja za evropske in evrazijske zadeve Victoria Nuland. Med drugim jo je že sprejel predsednik republike Borut Pahor, s katerim sta se pogovarjala tako o gospodarskih reformah v Sloveniji kot Ukrajini in Zahodnem Balkanu.
Prevc: Rekord me bolj kot ne ovira
Novo smučarsko letalnico bratov Lada in Janeza Goriška v Planici bodo v četrtek najprej na uradnem treningu in nato še v kvalifikacijah pred petkovo posamično preizkušnjo preizkusili tudi tekmovalci. Na startu kvalifikacij bo enajst Slovencev, najboljša Peter Prevc in Jurij Tepeš sta si nastop na tekmi že zagotovila.
Starši, ki ne cepijo otrok, ogrožajo druge
Cepljenost otrok v Sloveniji zadnja leto vztrajno pada, hkrati pa se po državi vrstijo predavanja predvsem tujih zdravnikov, kot je denimo Slađana Velkov iz Makedonije, ki zanikajo napredek zahodne medicine in pri tem trdijo, da je cepljenje »srednjeveška zabloda«.
Panucci postal Jeleničev trener
Nekdanjega italijanskega nogometnega reprezentanta Christiana Panuccija so danes imenovali za novega trenerja italijanskega drugoligaša Livorna.
Poteza Houstona, ki gane do solz
Bryson Jones je 16-letni deček, ki boleha za rakom, za nepozaben trenutek v njegovem življenju pa so poskrbeli košarkarji Houstona.
Gazzetta: Naša zastava bo plapolala drugje
Odzivi po imenovanju Andree Gianija na mesto selektorja so bili v deželi na sončni strani Alp izjemno pozitivni.
Slovenija se znova zadolžuje
Republika Slovenija je danes izdala 20-letno referenčno obveznico v višini ene milijarde evrov, je zvečer potrdilo finančno ministrstvo. Zahtevana donosnost je znašala 1,553 odstotka, največji del pa je šel v roke vlagateljem iz Nemčije in Avstrije, Slovenije, Italije in Velike Britanije. Povpraševanje je preseglo 1,3 milijarde evrov.
Ameriška tajna služba si za urjenje agentov želi repliko Bele hiše
Ameriška tajna služba je zaprosila za osem milijonov dolarjev za izdelavo replike Bele hiše, ki bi služila za urjenje agentov. Tako bi preprečili incidente, podobne lanskemu, ko je napadalec preskočil zunanjo ograjo domovanja ameriškega predsednika in si utrl pot v stavbo. Preden so ga prijeli, je tekel skozi več prostorov Bele hiše.
Ali Cerkev krši ustavo
Slovenci smo precej veren narod in pridiga med nedeljsko sveto mašo za marsikoga pomeni božjo besedo, ki jo je treba spoštovati. Prav to se je zgodilo ob zbiranju podpisov pod pobudo za referendum o spremenjenem zakonu o zakonskih zvezah in družinskih razmerjih. Cerkev se je močno obligirala in tako pomagala zbrati podpise. Ali je to vmešavanje Cerkve v državo?
Kljub pritiskom iz Bruslja sprejeli zakon za pomoč revnim
Grški parlament je danes z veliko večino potrdil predlog zakona o boju proti revščini, s katerim naj bi pomagali najrevnejšim prebivalcem obubožane države. Grčija je t. i. zakon o humanitarni krizi sprejela kljub pritiskom iz Evropske unije.
Šterbenc: Po zmagi Netanjahuja se bo farsa samo nadaljevala
Po zmagi premierja Benjamina Netanjahuja oziroma Likuda na torkovih volitvah v Izraelu se bo verjetno nadaljevala farsa oziroma konstrukt mirovnega procesa s Palestinci, meni docent Univerze na Primorskem dr. Primož Šterbenc. Kot poudarja, so vse pomembne izraelske stranke doslej delovale proti nastanku palestinske države, le z različnim stilom.
Učitelji Osnovne šole Prule ne nameravajo popravljati nalog NPZ
Osnovna šola Prule je danes Državni izpitni center (RIC) z dopisom obvestila, da njeni učitelji in učiteljice ne bodo popravljali nalog letošnjega nacionalnega preverjanja znanja (NPZ), v kolikor za to ne bodo primerno plačani. Menijo namreč, da popravljanje omenjenih nalog ne more biti del rednega delovnika učiteljev.
V Sloveniji našli bager, ki je bil namenjen Islamski državi
Policija v Šibeniku je priprla dvojico hrvaških državljanov zaradi suma odtujitve bagra. Tega je v ponedeljek odkrila in zasegla mariborska policija, so potrdili na Generalni policijski upravi. Po poročanju Jutarnjega lista naj bi bil delovni stroj namenjen prodaji na območju Islamske države. Naša policija informacij o tem nima.
Balotelliju je prekipelo (video)
Mario Balotelli je poleti iz Milana prestopil v Liverpool, kjer pa še zdaleč ni upravičil pričakovanj.
Policisti prijeli voznika, ki je na Zaloški zbil kolesarko in otroka
Policisti so v torek zvečer na območju Ljubljane izsledili in prijeli moškega, ki ga povezujejo s prometno nesrečo na Zaloški cesti. V njej sta se poškodovala kolesarka in otrok, saj je vanju trčilo osebno vozilo. Voznik je s kraja nesreče odpeljal, policisti pa so vozilo brez voznika kmalu izsledili.
Maze: Samo, da lahko spet jem
Finale svetovnega pokala se je za alpske smučarke začel najbolje za Američanko Lindsey Vonn, ki si je s smukaško zmago privozila že 18. kristalni globus v karieri. V dvoboju med Tino Maze in Anno Fenninger pa je šlo na uvodu v Meribelu bolje Slovenki, saj se je s četrtim mestom približala avstrijski tekmici v boju za skupno lovoriko na le 12 točk.
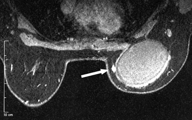
Zaradi prsnih vsadkov paničen strah pred rakom
Francoski nacionalni inštitut za rakave bolezni je ugotovil, da obstaja očitna povezava med redko obliko raka in določenimi vrstami prsnih vsadkov. Inštitut je ob tem ocenil, da ni potrebe po umiku vsadkov, ker so tovrstni zapleti zelo redki.
Mednarodno leto svetlobe: svetloba in fotonika, ključni tehnologiji prihodnosti
V petek, 20. marca 2015, bodo na Fakulteti za elektrotehniko Univerze v Ljubljani pozdravili uradni začetek Mednarodnega leta svetlobe in s svetlobo povezanih tehnologij (IYL 2015) v Sloveniji. Slednji je bil razglašen 20. decembra 2013 na 68. zasedanju Generalne skupščine Združenih narodov.
Giroud čestital Subašiću (video)
Arsenalu je za napredovanje v četrtfinale lige prvakov zmanjkal zadetek, Olivier Giroud pa je vseeno pokazal, da spoštuje dobre poteze nasprotnika.
Barovka Suzana se je razgalila
Ker so kamere na vsakem koraku, so se morale udeleženke resničnostnega šova Bar prhati s kopalkami. Prikupna Suzana pa se je tega naveličala in stopila pod tuš tako kot to počno moški barovci. Gola.
Prvi so na vrsti vikingi
Leta 2018 bo Slovenija tista, ki bo gostila evropsko prvenstvo v futsalu. To pomeni, da ima že zagotovljeno vozovnico za takratni zaključni turnir. Če pa bo želela sodelovati tudi na EP, ki bo prihodnje leto v Srbiji, se bo morala še kako potruditi.
Hockenheim ostal brez formule ena
Negotovost glede nemške dirke svetovnega prvenstva formule ena še kar traja.
Sodniška odločitev, ki je razdelila javnost (video)
Angleški drugoligaši so sinoči odigrali dvoboje 38. kroga. Še vedno pa duhove buri dogajanje na tekmi Cardiff - Bournemouth.
Z vladnim letalom bodo končno leteli pomembni organi
Zavod Slovenija transplant je z ministrstvom za obrambo sklenil dogovor, na podlagi katerega bo vladno letalo falcon lahko najemal za prevoz organov za presaditev. Novi dogovor bo olajšal težave z dosegljivostjo primernih letal, zavod pa pozitivne učinke pričakuje tudi na finančnem področju. Podpis pogodbe na zavodu pričakujejo prihodnji teden.
1. NLB Leasing liga: Iz Zaliva na tribune Zlatoroga
Rokometna sreda kakšnega posebno razburljivega obračuna ne prinaša, ravno nasprotno, karkoli drugega kot zanesljivi zmagi Celja in Gorenja bi bili veliko presenečenje.
Afera Mae: Zveza miži na obe očesi
Večkrat smo pisali o sramotni aferi na Krvavcu v zvezi z Vanesso Mae, v kateri je sodelovalo nekaj slovenskih smučarskih delavcev in slovenski smučarski klub iz Kranja.
Liga Telemach: Vedno na koncu sta dve poti
Zadnji krog prvega dela državnega prvenstva je na sporedu nocoj in bo prinesel odgovor na to, ali bo Krka igrala v ligi za prvaka ali pa se bo v drugem delu v branjenje naslova podala iz lige za obstanek.
V Tuniziji zaključena drama: ugrabitelja ubita, talci rešeni, osem turistov pa mrtvih
Najmanj dva neznanca, oborožena s kalašnikovkama, sta danes v tunizijski prestolnici Tunis napadla znani muzej Bardo. Po prvih podatkih je v streljanju umrlo najmanj osem ljudi, od tega sedem tujih turistov, sporoča tunizijska policija. Po dosedanjih podatkih naj bi v napadu bilo ubitih 18 ljudi, 21 pa ranjenih. Ubiti naj bi bili tudi trije napadalci in en policist.
Rusi slavijo: Že eno leto je Krim naš!
V Rusiji danes obeležujejo prvo obletnico priključitve polotoka Krim. V Moskvi bo popoldne velik koncert, na katerem pričakujejo na tisoče ljudi, številne prireditve so tudi na Krimu, kjer je danes dela prost dan. Ruski predsednik Vladimir Putin pa se bo popoldne sestal z vodstvom Krima.
Nestrpni motorist dobil svoje
Biti udeležen v prometu ni za vsakogar. Zlasti ne za sebične in arogantne ter tiste, ki situacije okoli sebe dojemajo nekoliko zapoznelo. Načeloma se da vsako situacijo razrešiti na miren način, vendar prihaja v prometu tudi do situacij, ki posamezniku 'dvignejo pokrov'.
Sosed umoril igralko, ki je bila v petem mesecu nosečnosti
Igralko Cristie Schoen Codd (38), ki je sodelovala v osmi seriji televizijske oddaje Food Network Star, so v torek našli umorjeno v njenem stanovanju v Leicestru v ameriški zvezni državi Severna Karolina. Poleg nje so našli še truplo njenega moža Josepha Codda (45).
Oglaševalec leta 2014 je …
Zmagovalka izbora tradicionalne letne stanovske nagrade Oglaševalec leta, tokrat za leto 2014, ki jo podeljuje Slovenska oglaševalska zbornica, je Droga Kolinska / Atlantic grupa. Nagrado bo v petek, 27. marca 2015, na Zaključni prireditvi s podelitvijo nagrad 24. SOF-a podelila predsednica Upravnega odbora SOZ, ga. Špela Levičnik Oblak.
Fernando Torres: Imamo vratarja za mnogo let
Fernando Torres se je v zimskem prestopnem roku po sedmih letih in pol vrnil v "svoj" Atletico.
Kot bi se stepla Stare in Milovanovič
Na ponedeljkovi nogometni tekmi serie A ni bilo zanimivo samo dogajanje na zelenici, temveč tudi v novinarskih kabinah.
Preberite, kaj zmoreta slepec in amputiranec
Jia Haixa in Jia Wenqi gotovo spadata med najbolj nenavadne okoljevarstvenike. Prvi je slep, drugi brez rok. Moška sta se spoznala leta 2001. Oba sta namreč iskala delo.
Se še spomnite Eminemove hčerke? Poglejte si jo sedaj!
Eminemova hči edinka je zrasla v prekrasno dekle, poleg dobrega izgleda pa se lahko pohvali tudi z uspehom v šoli.
Ministrica Vesna trdno stoji za svojimi policisti!
Notranja ministrica Vesna Györkös Žnidar vztraja, da pri policijskih preiskavah v zvezi s predsednico ZaAB Alenko Bratušek ni prišlo do kršitev zakona. Prepričana je, da bodo današnja pojasnila ministrstva pomirila skrbi. Se ji pa zdi nenavadno, da ji očitajo prav nasprotno kot njenim predhodnikom, torej da ne posega v delo policije.
Pogled strokovnjaka: Katerega leta bo slovensko smučanje doseglo dno?
Slovenski moški del svetovnega pokala v alpskem smučanju je za Slovence končan, saj so naši svetlobna leta oddaljeni od finalnega zaključka sezone v Meribelu, kamor sta se sicer uvrstila mladinska svetovna prvaka iz Hafjella Štefan Hadalin in Miha Hrobat.
Trčenju vlakov v Švici, eden mrtev, več ranjenih
V osrednji Švici sta davi trčila tovorna vlaka.
Že ob preizkusu trije čez 200 metrov
Nova letalnica v Planici je danes doživela in preživela tudi ognjeni krst. Preden je skakalna žirija prekinila polete, se je na zaletni rampi zvrstilo 27 skakalcev, zgodovinski prvi skok pa je pripadel Rožletu Žagarju, ki je kot prvi urezal novo smučino na prenovljeni letalnici. Že ob preizkusu so sicer kar trije skočili čez 200 metrov.
V državni zbor prinesel domnevno kemično orožje Udbe ali navaden svinčnik?
Na seji komisije za nadzor obveščevalnih in varnostnih služb DZ je danes prišlo do zapletov, saj je publicist Roman Leljak s seboj na sejo prinesel domnevno kemično oziroma ubojno sredstvo nekdanje SDV. Po koncu seje ga je izročil policistom, ki so ugotovili, da predmet ni nevaren in da tudi ne gre za orožje.
Ljudi na Mars ne bi poslali umreti
Ko je Elon Musk leta 2002 ustanovil podjetje SpaceX, je bilo njegovo osrednje poslanstvo kolonizacija Marsa. Podjetje prinaša denar in je prva izbira astronavtov, ki se odpravljajo na Mednarodno vesoljsko postajo. Pri podjetju nadalje razmišljajo tudi o internetni povezavi, ki bi s pomočjo satelitov med seboj povezala svet.
Alen pravi, da ni kruto moril, da ni kriv in da je 30 let preveč!
Na mariborskem sodišču je danes potekal predobravnavni narok zoper 25-letnega Alena Mihaliča, ki ga obtožnica bremeni, da je oktobra lani na krut način umoril svojo štiri leta starejšo partnerico Anjo Jug.
Petrinja na zbor z novo pogodbo v žepu
Ženska reprezentanca se bo danes zbrala v Ljubljani, že jutri potuje v Zrenjanin, kjer bo v petek in soboto odigrala prijateljski tekmi s Srbijo, z mislimi pa bo ves ta čas pri Franciji.
Bomo pa po kitajsko
Pravzaprav je zanimivo, če ne kar nenavadno, da se je nekdo ob to obregnil šele zdaj. Ob vohunstvo, ki to pravzaprav ni. V krasnem novem času, ko se v nekih drugih športih z roko zakriva ustnice, da ne bi morebitni najeti mojstri branja z ustnic prepoznali navodil oziroma izrečenih besed, je namreč v rokometu vpogled v nasprotnikove (za)misli ponujen na pladnju.
Prvič imate možnost potovati v samo središče Zemlje
Če ste se kdaj vprašali, kako bi odpotovali v središče Zemlje, imate sedaj priložnost, da to storite, brez da v roko vzamete lopato.
Mazejeva zmanjšala zaostanek za Fenningerjevo
V Meribelu se je končala ženska preizkušnja v smuku.
V Izoli ustavili samooklicane "farmacevte". Novi zasegi droge tudi v Ljubljani!
Na območju Izole so policisti in kriminalisti v nedeljo obravnavali 24-letnega Koprčana, ki je imel pri sebi štiri manjše zavitke alu folije s prahom bele barve, PVC vrečko z 22 tabletami bele barve in PVC zavitek s prahom bele barve. Zaradi utemeljenega suma storitve kaznivega dejanja mu je bila odvzeta prostost.
Aljaž Struna: Najzanesljivejši korak proti eliti
Italijanski prvoligaš Palermo je marca že izvedel prvi nakup za naslednjo sezono. S temi besedami so italijanski mediji pospremili novico, da je slovenski nogometaš Aljaž Struna podpisal novo pogodbo s Sicilijanci.
Aretirali predsednika Parme
Predsednika italijanskega nogometnega prvoligaša Parme Giampietra Manentija so danes aretirali zaradi suma pranja denarja. Prostost so v tem primeru odvzeli skupno 21 osebam.
Domžale: Da, skrbi nas
Po porazu na Bonifiki so Domžalčani misli usmerili proti nedelji, ko se bodo ob Kamniški Bistrici udarili z vodilnimi Mariborčani.
FOTO: 'Vojna' na ulicah pred odprtjem pregrešno dragega sedeža ECB
Protestniki gibanja Blockupy so se podali še v eno bitko z bančniki in evrokrati, ki naj bi po njihovem z varčevalnim diktatom prispevali k upadu življenjskega standarda v Grčiji in nekaterih drugih državah. Tokrat izvajajo proteste ob odprtju novega sedeža Evropske centralne banke (ECB) v Frankfurtu.
Jansrud: Očitno sem nekaj delal pravilno
Norvežan Kjetil Jansrud je zmagovalec smuka na finalu svetovnega pokala v Meribelu.
Iz malega zraste … marsikaj
"Ta mali pa obeta, iz tega pa še nekaj bo." Kolikokrat ste iz ust znanca, prijatelja, sorodnika ali koga drugega slišali takšne ali podobne besede? Verjamemo, da velikokrat, še posebej če si radi ogledate kakšno mladinsko, kadetsko ali celo tekmo še mlajše kategorije.
Materino mleko po novem tudi za nego obraza
V enem od lepotnih salonov v Čikagu si pri negi obraza pomagajo z materinim mlekom. Tega zmešajo z glino, da ga lahko nanesejo na obraz, kjer se nato posuši, strankam pa s to metodo obljubljajo otroško mehko kožo.
Osemnajstletnik oskrunil panenko (video)
Finale evropskega prvenstva 1976 med Češkoslovaško in Zahodno Nemčijo so odločili streli z bele točke.
Dekolte razkril več kot pokril
Znane so številne 'nesreče' z oblekami in dekolteji slavnih igralk, toda tega ne vidimo pogosto.
Časar bo začetek zaporne kazni prestajal na zaprtem oddelku
Letalo francoskega letalskega prevoznika Air France, na krovu katerega je bil obsojeni nekdanji predsednik uprave Luke Koper Robert Časar je ob 11.45 pristalo na Brniku. Časarja so medtem policisti že odpeljali v zapor na Dobu, kjer bo prestajal dosojeno večletno zaporno kazen. BIval bo na zaprtem oddelku zapora.
Zadela na lotu in pomagala bolnemu dečku, ki boleha za rakom
Jane Park (19) iz Velike Britanije je pred kratkim na lotu zadela milijon funtov (približno 1,39 milijona evrov). Marsikdo bi začel na veliko zapravljati in si privoščil vse, česar si prej ni mogel, Jane pa je s tem denarjem najprej pomagala 15-letnemu Leonu Rendlu.
Šolanje ministrice
SMC vztraja pri svoji kandidatki, socialni partnerji poskušajo pogajalsko izhodišče z njo utemeljiti pri predlogu ZViS, ki ga je spisala ekipa nekdanjega ministra Jerneja Pikala.
Moriti je hotel v Radovljici, prijeli pa so ga v Münchnu
Policisti so v torek popoldne na letališču v Münchnu prijeli osumljenca, ki naj bi v ponedeljek zvečer na območju Radovljice zabodel in huje poškodoval moškega.
Je v 9. mesecu nosečnosti, toda kje je trebuh?
Model za spodnje perilo, Sarah Stage, je nedavno izzvala burne reakcije svetovne javnosti.
Nesterović o trditvah Lisca
Roman Lisac je precej jasno in konkretno prst uperil v Raša Nesterovića, češ da je on tisti, ki v Sloveniji ruši ligo ABA oziroma pri tem sledi nekaterim Srbom. Upravičeno?
Audi premaknil izid A8 – izpopolnjevanje avtonomne vožnje
Ingolstadt bo novega A8 predstavil leto pozneje kot je bilo predvideno, ne pred 2017, ker izpopolnjujejo sistem za avtonomno vožnjo. Elektronika naj bi tako zmogla voziti povsem sama do hitrosti 65 km/h, Audi z A8 kot tehničnim draguljem cilja na Mercedesov razred S.
Svojo kariero je začel že pri enajstih
18. marca 1904 se je rodil eden najpomembnejših slovenskih pesnikov, ki je svojo kariero začel že pri enajstih letih.
Občanom Kopra in Ankarana nove razgradljive vrečke za biološke odpadke
Pošta Slovenije bo vsem gospodinjstvom Mestne občine Koper in Občine Ankaran, ki so vključena v sistem rednega odvoza odpadkov Komunale Koper, do petka dostavila zavojček 33 biološko razgradljivih vrečk iz koruznega škroba, ki so namenjene izključno biološko razgradljivim kuhinjskim odpadkom.
Rok in Barbara o sanjski poroki še molčita
Ansambel Roka Žlindre po štiriletnem premoru s ponosom predstavlja novo zgoščenko, ki so jo poimenovali kar po najuspešnejši skladbi teh let Lupčka mi je dala mala.
Ronaldo čez lužo?
Potem ko so ali bodo v ameriški nogometni ligi MLS že zaigrali nekateri zvezdniki svetovnega nogometa, kot so David Beckham, Frank Lampard, Steven Gerrard, Thierry Henry, Kaka in številni drugi, se leta 2018 obeta prestop čez Atlantik tudi Portugalcu Cristianu Ronaldu.
Krokodili pohrustali divjega lovca
Skupina britanskih turistov je bila šokirana, ko je na izletu po reki Zambezi med Zimbabvejem in Zambijo videla, kako so si krokodili za kosilo privoščil nekega moškega. Ko so se približali, so videli, da krokodili trgajo spodnji del človeškega trupla.
Primorska železniška proga v celoti elektrificirana predvidoma poleti
Sanacija primorske železniške proge, ki je bila močno poškodovana po lanskem žledolomu, še poteka. Dela na desnem tiru na odseku med Logatcem in Borovnico naj bi se končala aprila, oba tira proge pa bosta elektrificirana predvidoma avgusta, so pojasnili na Slovenskih železnicah.
Liga prvakov: Zavajajoča neizpodbitnost
Ne samo za vrhunec današnjega dneva, moralo bi iti za vrhunec celotne osmine finala letošnje lige prvakov. Pa bo res?
Po rešitev? Ali za dnevnice?
Robert Vrtovec in njegov skorajda klinično mrtvi pacient po imenu Gorica naj bi imela na bančnem računu že približno milijon evrov velik minus. Dolgovi pa rastejo iz tedna v teden.
Bodo v Planici padali tudi pivski rekordi?
Danes se bo začelo dogajanje v Planici in sicer z uradnim preizkusom prenovljene letalnice. Po navedbah snovalcev skakalnice, naj bi ta omogočala varne skoke vse tja do 250 metrov, potihoma pa se pričakuje tudi podrtje svetovnega rekorda, ki znaša 251,5 metra. Poleg pričakovanega svetovnega rekorda, pa se pričakuje tudi veliko število obiskovalcev in velike količine popitega alkohola. In slika pitja obiskovalcev Planice, ki jo vsako leto pošljemo v svet, ni nekaj, na kar bi lahko bili ponosni.
Kevin Kampl: Sladkost obeta, grenkoba dvoma
Na zaključni večer povratnih srečanj osmine finala najbolj prestižnega klubskega tekmovanja bo svetovna javnost zagotovo dala prednost obračunu na stadionu Camp Nou. S slovenskega zornega kota pa ne more biti dvoma o drugačnem vrstnem redu dvobojev, kajti gostovanje torinskega Juventusa v Dortmundu prinaša priložnost za elitni debi našega trenutno najboljšega nogometaša. Toda, pozor, zanimanje in vprašanja imajo pri tem absolutno prednost pred kakršnokoli evforijo.
V hudi prometni nesreči umrl mopedist
Dvainštiridesetletni voznik mopeda je umrl v ponedeljek okoli 14.20 v Zagrebu, na križišču ulic Trnjanske struge in Prudi. Prišlo je do trčenja mopeda in tovornega vozila.
V Belo hišo prispelo pismo s cianidom
Bela hiša je ta teden prejela pismo s cianidom, so v torek poročali ameriški mediji. Gre za nov udarec za ameriško tajno službo.
Upam, da se ga bodo mlajši bali in ga poslušali
Kdo bi o novopečenem selektorju slovenske reprezentance Andrei Gianiju vedel povedati več kot odbojkar, ki pod njegovo taktirko igra zadnji dve sezoni in ki spremlja njegov razvoj, njegov napredek na klopi trenutno četrte ekipe italijanskega prvenstva?
Bo privatizacija odločala o obstoju Cerarjeve vlade?
Privatizacija in interesi v ozadju lahko nenazadnje odnesejo tudi vlado. Premier Miro Cerar pravi, da ni nobena skrivnost, da je stranka SD znotraj sebe nekoliko razdvojena, saj se pojavljajo pomisleki glede privatizacije.
V Srbiji aretirali sedem osumljencev za vojne zločine v Srebrenici
Policija je v več krajih po Srbiji aretirala sedem oseb, ki so osumljene vojnih zločinov v Srebrenici, so sporočili s srbskega tožilstva za vojne zločine.
Se bo zgodila koprska preobrazba?
Ko je namestnik disciplinskega sodnika NZS v ponedeljkovem popoldnevu razkril, da je zaradi nekorektnega komentiranja sojenja Mateja Juga in izreka groženj kaznoval Anteja Guberca, si kakopak nisem mogel kaj, da ga ne bi poklical.
Elliott spet zaklenil vrata
Hokejisti Chicaga so premagali newyorške otočane s 4:1, dva gola je dosegel Jonathan Toews. Še višjo zmago, 4:0, so dosegli hokejisti St. Louisa, ki so s 4:0 odpravili Calgary. Moštvo slovenskega zvezdnika Anžeta Kopitarja bo spet na delu v noči na četrtek, ko bodo Kralji gostovali v Anaheimu.
Jojo je nazaj. Kaj pa zdaj?
Čeprav nas še kako zanima, kaj dejansko se je dogajalo v ozadju, pa bomo spoštovali in selektorja Srečka Katanca in nogometaša Josipa Iličića. Zato ne bomo drezali v to, kar je dejansko že preteklost. Raje bomo pogled usmerili v prihodnost; z obujanjem nečesa, kar je že zgodovina, je težko doseči kaj pametnega. Zgolj prebudi se kakšna že pozabljena zamera.
Z nadvoza avtoceste metala snežne kepe in kamne
Pobalin in predrzna 28-letna damica sta si na območju Lendave v prvi polovici februarja privoščila razbojništvo. Z nadvozov avtocest v bližini njunega doma sta na vozila, še zlasti na tovornjake, metala kamne in snežne kepe.
Piloti Lufthanse bodo spet stavkali ves dan
Piloti nemške Lufthanse, združeni v sindikatu Cockpit, bodo po napovedih danes znova stavkali. Zaradi današnje, že 12. stavke v leto dni trajajočem sporu, povezanem s predhodnim obdobjem pilotov pred upokojitvijo, naj bi bilo odpovedanih 750 poletov na srednje dolge in kratke proge.
Sposobni ste čiste sreče
Visokorasli moški naju s fotografinjo potrpežljivo čaka v salonu zagrebškega hotela ob metinem čaju z limono. Na njem ni nič domišljavega. Že pred tridesetimi leti se je podal na pot iskanja odgovorov v svet duhovnosti. Mojster džotiša, učitelj meditacije, raziskovalec življenja je napisal okrog štirideset knjig, priročnikov za osebno preobrazbo. Ni se naveličal vedno znova odgovarjati na ena in ista vprašanja ljudi. Našel je nekaj odgovorov, kako olepšati bivanje na zemlji, se osvoboditi nekaterih spon in si dovoliti srečo. Brezpogojno, kar je naša pravica.
V eni noči zasegli sedem vozil
Policisti so v zadnjih 24 urah obravnavali 72 prometnih nesreč, od tega 12 nesreč z lahkimi poškodbami.
Jan Oblak: Nisem junak (video)
Atletico se je sinoči po streljanju enajstmetrovk uvrstil v četrtfinale lige prvakov.
V resničnostnem šovu ga je 'vlekla' kot v porniču
Resničnostnim šovom gledanost ne pada. Njihov vpliv na publiko pa je čedalje bolj zaskrbljujoč. Srbski resničnosti šov 'Parovi' (Pari) pa je izzval številna neodobravanja, oglasil se je celo srbski kulturni minister.
Udrih blizu dvojnemu dvojčku
Košarkarji Memphisa so na gostovanju pri Detroitu izgubili s 95:105.
V Izraelu spet zmagal Netanjahu
Na predčasnih parlamentarnih volitvah v Izraelu je ponovno slavil dosedanji premier Benjamin Netanjahu.
Preverite, če ste med nagrajenci?
Dobili smo nove nagrajence, ki so poslali pravilna gesla nagradnih križank, ki jih najdete v časniku Svet24! Ste med njimi?
Objavili razpis za generalnega direktorja UKC Ljubljana
Univerzitetni klinični center (UKC) Ljubljana je danes objavil razpis za generalnega direktorja bolnišnice.
Lažni profil vodil do zlorabe
Na Goriškem od ust do ust kroži zgodba o zlorabi. Vpleta odraslega moškega in osnovnošolko, ki sta se spoznala na družabnih straneh svetovnega spleta. Menda se je moški z lažnim profilom izdajal za njenega vrstnika. Podobnih primerov je precej, pomembna je preventiva.
Kdo bo prvi, skrivnost do zadnjega
Potem ko so v ponedeljek simbolično krstili prenovljeno planiško letalnico, projektant Janez Gorišek tudi s smučmi na nogah, jo bodo danes ob predvidoma 10.15 tudi preizkusili. Kdo izmed 24 predskakalcev bo prvi, ki se bo spustil po zaletišču, pa do danes ostaja skrivnost.
Razkrivamo ozadje bitke za ministrski stolček
Iskanje nove ministrice za šolstvo: zakaj je premier Miro Cerar izbral prav Klavdijo Markež, nad katero socialni partnerji sicer niso navdušeni.
V streljanju v bližini supermarketa v Kaliforniji več mrtvih
V bližini supermarketa v Stocktonu v ameriški zvezni državi Kalifornija je v torek zvečer po lokalnem času prišlo do streljanja, ki je po prvih podatkih zahtevalo najmanj tri smrtne žrtve, štirje ljudje so bili ranjeni.
Družinska drama v Ljubljani: Oče ugrabil štiri hčere
Prava družinska drama se je odvila 23. aprila 2012, ko je oče Ramiz Hašimi v družbi svojega očeta, mame in sestre sredi Ljubljane ugrabil svoje hčerke. In to samo zato, da bi se dokopal do otroških dodatkov. Zdaj mora po odločitvi višjega sodišča v zapor za tri leta in pol, njegov oče za leto in devet mesecev, mama in sestra pa za dve leti.
Nekaj vetra, a dokaj prijeten dan
Danes in jutri bo delno jasno z občasno zmerno oblačnostjo.
Trije obrazi Tine Maze
Obračun pri O.K. Corralu (verjetno najslavnejši vestern vseh časov) je hudomušna risanka za male otroke proti temu, kar se bo dogajalo v naslednjih dneh v finalu svetovnega pokala v francoskem Meribelu.
Horoskop za sredo 18. 3. 2015
Če verjamete ali ne, v vsakem primeru je bolje biti vsaj malo pripravljen. Preberite današnji horoskop.
Horoskop za sredo, 7.4.
Če verjamete ali ne, v vsakem primeru je bolje biti vsaj malo pripravljen. Preberite današnji horoskop.
Oblak tolažil nogometaša Bayerja (video)
Čeprav se je slovenski vratar Jan Oblak z Atleticom veselil uvrstitve v četrtfinale lige prvakov, pa je poskrbel za hvale vredno potezo.