Novorojenčica takoj po rojstvu šokirala zdravnike
V Mehiki je na svet pokukala prav posebna deklica, ki je imela redek dodatek, mali rep.

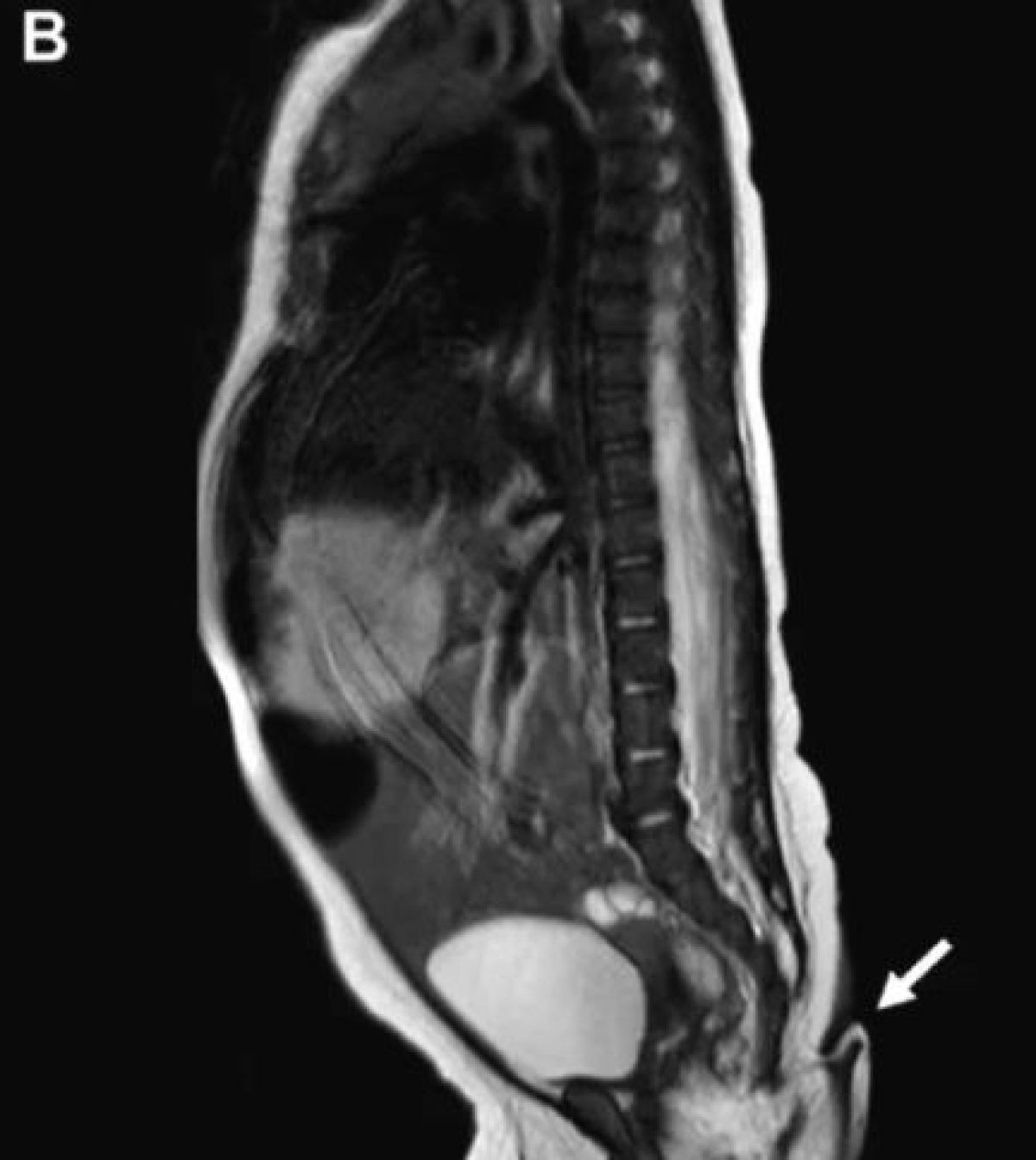
Ko je deklica v mehiški porodnišnici Ciudad de Mexico prijokala na svet, so zdravniki pri pregledu prešteli čisto vse: roki, nogi, nos, ušesa in še en dodatek, repek. Zdravniki so bili začudeni in so izmerili repek, meril je dobrih 6 centimetrov. Njena pritiklina spada v kategorijo pravih človeških repov, saj je pokrit s kožo.
Je deklica neko nenavadno čudežno bitje? Ne, rojena je zdravima staršema, ki sta stara pod 30 let. Je pa vsekakor nekaj posebnega; takih primerov je bilo do zdaj po svetu zabeleženih zgolj 195. Ali bodo deklico vpisali v Guinessovo knjigo rekordov, še ni znano.
Pojav repa pri človeku ni deden. Pri pregledih med nosečnostjo niso zaznali nič nenavadnega, ne pri otroku, ne pri materi. Mati ni bila izpostavljena radioaktivnemu sevanju in v času nosečnosti ni imela nobene infekcije.

Deklica je bila rojena s carskim rezom
Po dveh mesecih po rojstvu so izvedli operacijo in deklico brez kakršnih koli zapletov osvobodili točno 5,7 centimetrov dolge in 5 milimetrov široke tvorbe. Malo bolnico so z bolnice odpustili povsem zdravo.
E-novice · Novice
Berite brez oglasov
Prijavljeni uporabniki Trafike24 berejo stran neprekinjeno.
Še nimate Trafika24 računa? Registrirajte se